(+351) 961 411 502*
chamada para rede móvel nacional
(+351) 218 961 218*
chamada para rede fixa nacional
geral@mclinique.pt
Ruas das Galés, 11A, loja 13, Parque das Nações – Lisboa
(+351) 961 411 502*
chamada para rede móvel nacional
(+351) 218 961 218*
chamada para rede fixa nacional
geral@mclinique.pt
Ruas das Galés, 11A, loja 13,
Parque das Nações – Lisboa

(+351) 961 411 502*
chamada para rede móvel nacional
(+351) 218 961 218*
chamada para rede fixa nacional
geral@mclinique.pt
Ruas das Galés, 11A, loja 13,
Parque das Nações – Lisboa

A oclusão é a área da Medicina Dentária responsável por tratar os problemas associados à má oclusão dentária, isto é, ao encaixe incorreto entre os dentes superiores e os dentes inferiores e, disfunções temporomandibulares.
Dentes com má relação interarcadas, ranger de dentes ou apartamento dentário são problemas que afetam grande parte da população, danificando a estrutura dentária e influenciando o estado de saúde geral.
Má-oclusão:
A má-oclusão dentária é um problema que pode afetar a função mastigatória, a estética do sorriso e até causar problemas como dor muscular e articular, dificuldade para mastigar ou falar, desgaste excessivo dos dentes e disfunção temporomandibular.
Esta condição ocorre em situações de incorreta relação entre os dentes superiores e inferiores.
O tratamento geralmente envolve o uso de aparelhos ortodônticos, goteiras oclusais, fisioterapia e terapia da fala, podendo incluir, em casos mais graves, intervenções cirúrgicas.
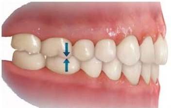
A arcada superior encaixa com a arcada inferior.

Os dentes da arcada inferior estão posicionados numa posição posterior aos dentes da arcada superior.

a arcada superior é muito menor do que a arcada inferior, e estes dentes posicionam-se numa posição mais anterior que os dentes da arcada superior.


A Disfunção Temporomandibular (DTM) é um termo utilizado para descrever um conjunto de condições que afetam a articulação temporomandibular (ATM), que é a articulação responsável pelos movimentos da mandíbula, permitindo ações como falar, mastigar e engolir. Alterações nessa articulação desencadeiam problemas como dor e dificuldade nos movimentos da boca.

O ato repetido de ranger ou apertar os dentes, especialmente durante o sono, coloca pressão excessiva na ATM e pode levar a inflamação e dor na articulação.
Acidentes que afetem a zona da mandíbula a cabeça podem afetar a articulação temporomandibular.
Problemas de oclusão, onde os dentes não se alinham corretamente, podem forçar a articulação e os músculos relacionados.
O stress pode levar ao aumento da tensão nos músculos da face e mandíbula contribuindo consequentemente para a DTM.
Condições inflamatórias, como artrite reumatóide ou osteoartrite, podem afetar a ATM, causando dor e rigidez provocando limitações nos movimentos de abertura da boca.
Uma postura inadequada, especialmente no pescoço e ombros, pode influenciar os músculos da mandíbula e contribuir para a DTM.