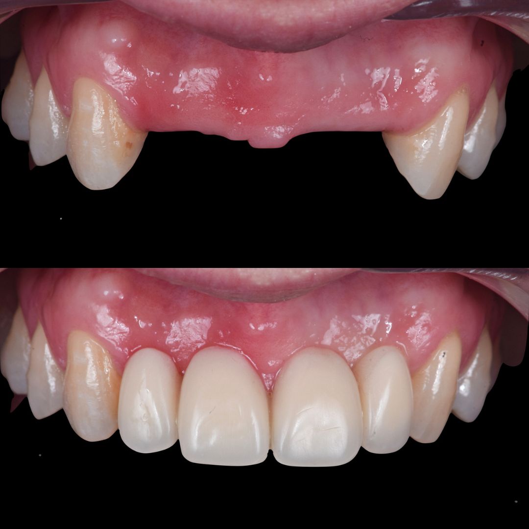
O caso da Patrícia

Reabilitação oral

A Patrícia procurou-nos depois de ter sofrido um acidente de viação em que perdeu os quatro dentes anteriores e usava uma prótese removível antiga com a estética bastante comprometida. Realizámos uma nova prótese parcial removível, adaptada, natural e estética. Não podíamos estar mais felizes com o resultado!
Antes
Depois