(+351) 961 411 502*
chamada para rede móvel nacional
(+351) 218 961 218*
chamada para rede fixa nacional
geral@mclinique.pt
Ruas das Galés, 11A, loja 13, Parque das Nações – Lisboa
(+351) 961 411 502*
chamada para rede móvel nacional
(+351) 218 961 218*
chamada para rede fixa nacional
geral@mclinique.pt
Ruas das Galés, 11A, loja 13,
Parque das Nações – Lisboa

(+351) 961 411 502*
chamada para rede móvel nacional
(+351) 218 961 218*
chamada para rede fixa nacional
geral@mclinique.pt
Ruas das Galés, 11A, loja 13,
Parque das Nações – Lisboa

A área da reabilitação oral ou prostodontia é a área da medicina dentária responsável pelo diagnóstico, planeamento e execução de tratamentos restaurativos em dentes muito destruídos ou em casos de perda de dentes.
O objetivo desta especialidade é devolver ao paciente a estética, função e saúde oral através da substituição dos dentes ausentes ou anatomicamente comprometidos.
Dentes extremamente danificados, desgastados ou enfraquecidos sem possibilidade restaurativas com materiais diretos;
Pacientes que perderam um ou mais dentes devido a cáries avançadas, doenças periodontais ou problemas congénitos;
Paciente que desejam melhorar a estética do sorriso, corrigindo dentes ausentes ou desgastados;
Pacientes que procuram uma solução duradoura e eficaz para recuperar a função mastigatória e a autoestima.

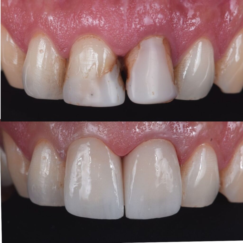
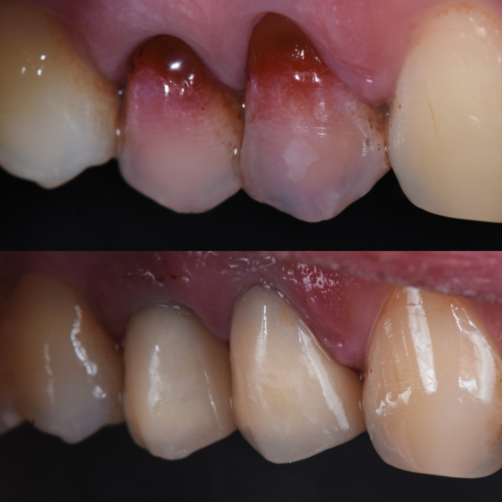
São peças usadas para cobrir dentes danificados ou enfraquecidos na sua totalidade, restaurando a sua forma, função e estética.
São feitas em laboratório e fabricadas em resina composta, cerâmica ou zircónio.

São peças parciais usadas para reconstruir a parte de dente perdida ou danificada.
Consoante a sua extensão, são classificadas em overlays, onlays e inlays. São feitos em laboratório fabricados em resina composta, cerâmica ou zircónio.

São uma “capa” fina aderida à superfície externa do dente permitindo corrigir a forma e a cor do dente de forma natural.

A prótese dentária removível é uma opção para pessoas que procuram uma solução prática para a reposição de dentes ausentes. Porém, como qualquer tratamento, ela tem as suas limitações, sendo essencial que o paciente discuta com seu médico dentista a melhor opção para o seu caso, levando em consideração o estado de saúde oral, preferências estéticas e orçamento.
São próteses indicadas quando o paciente perdeu alguns dentes naturais mas ainda possui outros dentes suficientes para suportar a prótese restaurando a estética e função.
Restabelecimento da função mastigatória e estética; facilidade de remoção e limpeza; baixo custo.
Adaptação difícil e desconforto inicial; limitação da funcionalidade; comprometimento estético aquando do uso de ganchos metálicos de suporte.
São próteses removíveis colocadas quando o paciente perdeu todos os dentes de uma arcada dentária (superior ou inferior).
Restabelecimento da função mastigatória e estética; facilidade de remoção e limpeza; baixo custo.
daptação difícil e desconforto inicial; limitação da funcionalidade.
A prótese fixa com implantes é uma solução efetiva para o restabelecimento de dentes perdidos, que envolve a colocação de um implante no osso maxilar ou mandibular, para substituir a função da raiz dentária, sobre os quais são aparafusadas as coroas dentárias.
O implante propriamente dito é um pequeno parafuso de titânio colocado no osso para substituir a raiz do dente perdido.
Após o processo de osteointegração, uma coroa é colocada sobre o implante.
Estética, estabilidade e conforto; restabelecimento da função mastigatória.
Exigência de boa saúde e disponibilidade óssea; tempo de tratamento por exigir uma primeira fase cirúrgica; possíveis complicações pós-cirúrgicas.

Este tipo de reabilitação é indicado quando o paciente perdeu todos os dentes de uma arcada dentária (superior ou inferior) e o suporte pela gengiva e osso já não é suficiente para reter uma prótese removível.
Nestes casos, são colocados implantes dentários com o objetivo de “substituir” as raízes dentárias e permitir que a prótese seja aparafusada a estes tornando-a fixa.
Estética, estabilidade e conforto; restabelecimento da função mastigatória e estética; reabilitação fixa.
Exigência de boa saúde e disponibilidade óssea; tempo de tratamento por exigir uma primeira fase cirúrgica; possíveis complicações pós-cirúrgicas; necessidade de manutenção cuidada.
